
「抜けたままでもしばらくは
大丈夫ですか?」「見た目以外の
問題はありますか?」
と、
ご相談を受けることがあります。
患者さん
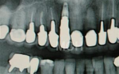
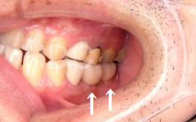
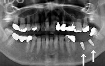
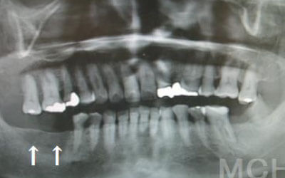
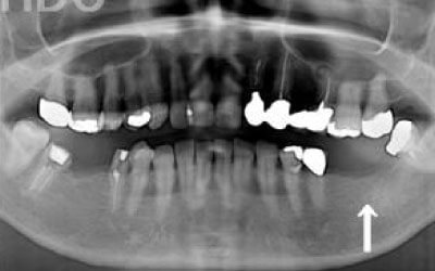
歯が抜けてそのままにしたら他の歯がズレてしまいました。どうしたらよいでしょう?
Dr.武田
軽いズレなら調整や詰め物で対応できますが、大きく傾いた場合は矯正や被せ物が必要です。ズレが広がる前に早めの診査・治療をおすすめします。
患者さん
見えない場所なら保険のブリッジ(銀歯)でもインプラントでも同じですか?
Dr.丸尾
ブリッジとインプラントは、前後の歯の寿命に大きな差があります。
ブリッジは支えの歯を虫歯ではなくても大きく削り、さらに噛む負担が1.5倍かかるため寿命が短くなります。
統計ではブリッジの支えの歯は、10年以内に68%が抜歯になります。
歯が抜けた後の治療には、
インプラント・ブリッジ・入れ歯の
3つがあります。
※左右にスクロールしてご覧ください
|
インプラント
|
ブリッジ
|
入れ歯
|
|
|---|---|---|---|
| 歯を削る | 削らない | 削る | 少しだけ削る |
| 周りの歯への 力の負担 |
負担をかけない | 非常に大きい | 大きい |
| 使用感 | 自分の歯に近い感覚 | 銀歯の場合は目立つ | 異物感を感じやすい |


誰でも噛むときに歯に何十キロもの力がかかっています。当然、歯の本数が減れば減るほど残っている歯にかかる負担が大きくなります。
ブリッジ治療でも、 失った歯にかかっていた力は残っている前後の歯が支えます。 結果的に、残っている歯には抜歯していないときの1.5〜2倍程度の力がかかるのです。

入れ歯の場合は、バネをかけている歯や残っている歯への負担が大きくなります。多くの方が無意識で残っている歯で噛んでいることから、使う回数が極端に多くなったり過剰な力が加わり、結果的に折れるなど残っている歯の寿命を縮めます。
ただインプラントは、人工歯根を通して骨が力を支えるので、残っている歯への負担が圧倒的に少ないのです。

ブリッジなどの治療では前後の歯を大きく削る必要があります。場合によっては、虫歯でもないのに歯の神経をとることも。実は神経をとって被せ物をすると、歯は一気に最終ステージになってしまいます。
しかしインプラント治療なら、前後の歯を削る必要も神経をとる必要もありません。歯の寿命を延ばす上でも、健康な歯をできるだけ削らないのはとても大切なことなのです。

入れ歯の場合は毎食後に外して歯を磨いたり入れ歯を洗う必要があり、バネが見えたり見た目が気になる人もいます。入れ歯は取り外し式の装置なので、元の歯のように使うには限界があります。
インプラントだと固定式なので取り外す必要もなく煩わしさが圧倒的に少ないです。見た目も、他の人からはわからないケースがほとんどです。
他にもインプラント治療で
知っておいてもらいたいことがあります。
まずインプラント治療は
健康保険が適用になりません。
あとはインプラント治療を
受ける前の診査診断が大切です。
具体的には、以下のことなどを
総合的に判断して治療計画を立てます。

安全な治療で、長くもつインプラントの
ためには正しい検査が必須となります。
10年20年後もより良いお口の状態を
目指します。
インプラントを成功させる
5つのPOINT
1
CLINICAL ORAL
IMPLANTOLOGY
メーカーが発行する認定と違い、
学会が指定する症例数や治療経過などの
基準を満たした上でテストをクリアした歯科医師のみに認定されます。
2
経験の違いは、治療の質の違いです
3

アストラテックやオステムなどのインプラントメーカーから表彰されております。
4

1人の歯科医師の視点でなく、複数のドクターでCTの診断や計画を立てています。
5
感染対策はしっかりしており、
ニュースに出ている様な使いまわしは
一切ありませんのでご安心ください。
私たちは、インプラントだけでなく
残っている歯も大切にしています。
インプラント治療の
3つのリスクと対策

通常、インプラントの適正な
年間症例数は100~200件です。
当院はこれを超えないことを
大切にしています。
医療は、工業製品を売るのとは違います。
歯科医師が1人1人の患者さんと向き合って、初めて成立します。
だから私たちは、許容量を超えた治療はしません。
*横にスライド/スワイプしてご覧ください
当院のインプラント治療費は明確に設定されているのでご安心ください。

治療費で不安が無いように、全ての費用が含まれる明確な治療費(※)となっています。
患者さん
治療費の支払いのタイミングはいつでしょうか?
Dr.西村
治療のスタートの時点で総額の半分のお支払い、残り半分は治療の後半でお支払いとなります。
患者さん
費用的に一括払いが難しい場合はどうしたら良いでしょうか?
Dr.明石
治療費は、2分割でのお支払いが可能です。より多くの回数で分割支払いをご希望される方は、デンタルローンという方法があります。クレジットカードの分割よりも金利が安いので、分割する場合はデンタルローンの方がかなりお得です。
スルガ銀行のデンタルローンが
ご利用いただけます。




「より良い治療を受けたいけど、先生にお金の相談はしにくい…」
という方もご安心ください!
クリニックを介さず、銀行と直接ローン契約ができます!
デンタルローンの契約はクリニックに相談不要です。
銀行の調査によると、デンタルローンを申し込んだ人の 約40% がご自身で検索して利用しています。
当院はローン契約に関与しないため、ローンを検討していることはもちろん審査状況やお借入れ額などを知られることもありません。 費用をご相談いただいた際はデンタルローンのパンフレットをお渡しいたします。
「デンタルローン」なら、
一般的なクレジットカードの
リボ払いや分割払いより低金利だから返済総額や
月々の返済額が抑えられる!
患者さん
医療費控除は使えますか?
Dr.齋藤
医療費控除の活用は可能ですので、実質割引の様な感じとなります。
所得税率やその他の医療費の総額にも影響しますが、インプラント費の30%ぐらいが、医療費控除で戻ってきたりします。
詳しくは医療費控除の詳細チラシをご覧ください。

インプラント治療は安心・安全を優先し、末永く使っていただきたいと思っています。
しかし何かしらのトラブルに見舞われてしまった場合には安心の保証制度を設けております。
よりご安心いただけるための仕組みとなっております。

※当法人では2種類のインプラントを部位によって使い分けております。
インプラント本体は5年間、100%クリニック負担にて保証。
その後、6年⽬より段階的にクリニック負担割合は減りながら、10年間の保証。
上部構造物は3年間、100%クリニック負担にて保証。


定期的なメンテナンスを受けていてもインプラントのトラブルがあった場合、 使用期間に応じて修理、再製作の費用をクリニックで負担いたします。
もちろんその後もメンテナンスを続けることにより末永く使っていただけるものです。

インプラントだけの安いインプラント
専門の医院で受診する場合には
注意してほしいことが3つあります。
医院選びのポイント01
医院選びのポイント02
医院選びのポイント03




Dr.中澤
激しい運動や飲酒は3日程度お避けください。
お風呂は、1~2日はシャワー程度にしてください。
日常の通常的なことに支障はございません。

Dr.明石
基本的に、成人であれば誰でも治療を受けることが可能です。
大きな全身的な病気があるケースなどは、担当医にご相談ください。

Dr.日坂
奥歯の1~2本などであれば、身体を酷使する仕事ではなければ次の日の仕事は問題ありません。
手術当日でもデスクワークであれば仕事されている方も多いです。

Dr.明石
麻酔をすれば、全く痛みは無いのでご安心ください。

Dr.守谷
天然の歯と同様に3ヶ月に1度のメンテナンスが推奨です。
メンテナンスで、インプラントと今ある歯を長く残していきましょう。

Dr.明石
歯科の統計データをお伝えさせて頂きます。
インプラントは、10年後に90~95%の割合で残っています。
ブリッジは、10年後に30~35%の割合で残っています。
ブリッジがダメになる時は、ほとんどが支えの歯がダメになって抜歯になります。

Dr.坂田
状態などによりますが、約2~3ヶ月ぐらいとなります。
ただ、毎週治療に通われる必要はありません。
インプラント治療の前に、骨を増やす治療が必要なケースはプラス3ヶ月程度かかります。

Dr.明石
CTでは骨や歯の状態などを3次元で見ることができ、正確な距離を測ることも可能です。
骨の厚みや傾き、神経の位置などを事前にしっかり計測することで安全なインプラントが可能となります。

Dr.山中
医療費控除の活用は可能ですので、実質割引の様な感じとなります。
所得税率や医療費の総額にも影響しますが、
インプラント費の20~30%ぐらいが医療費控除で戻って来たりします。
※詳しくは医療費控除の詳細チラシをご覧下さい。

Dr.明石
治療費は、2分割でのお支払いが可能です。
より多くの回数で分割支払いをご希望される方は、デンタルローンという方法があります。
クレジットカードの分割よりも金利が安いので、分割する場合はデンタルローンの方がお得です。
詳しくは、デンタルローンの銀行サイトをお読みください。
https://www.surugabank.co.jp/reserved/landing/dentalplus/

Dr.飯塚
治療のスタートの時点で総額の半分のお支払い、残り半分は治療の後半でお支払いとなります。

Dr.明石
歯周病の程度によりますが、インプラント治療は可能です。
ただ歯周病の検査をして、先にしっかりと歯周病治療をすることが必須となります。
また噛み合わせのバランス調整や、治療後もメンテナンスをして永く保たせる取り組みも大切です。

Dr.池田
大きく3つポイントがあります。
1 料金の落とし穴
ホームページで安いインプラント料金を掲げていても、
受診すると「○○さんの状態だとこちらのインプラントが適用にならないです。」と実際には高額な治療になっているケースもあります。
だからこそインプラント専門医院を選ぶ場合は、かかりつけ医からの紹介医院を推奨します。
2 メンテナンスに通えるか?
インプラントは入れるだけで終わりでは無く、どれだけ長く保つかが重要です。
そこで大切なのがメンテナンスとなります。
ただインプラント専門医院だと、インプラントのメンテナンスだけのためにずっとその医院に通うことになりますので、時間や労力が治療後もかかります。
面倒臭くてメンテナンスに通わなくなると、保証が無くなることもが多いです。
ですので、治療後にメンテナンスも通えるかがポイントです。
3 責任が曖昧で保証してくれないことも
インプラント専門医院ではメンテナンスを受けてくれず、地元のかかりつけ医でのメンテナンスを暗に推奨されるケースがあります。
何もトラブルが起こらなければ良いのですが、歯周病や噛み合わせの影響によってダメになるケースは責任の所在が不明瞭になり、インプラントの保証をしてくれないとの話も聞きますので注意してください。
お口の問題は様々に絡み合っています。
ですから通常の治療やメンテナンスもしてくれる医院で治療を受けるか、もしくはインプラント専門の医院に行かれる際は、かかりつけ医からの紹介での受診が安全です。
お体のことですし、工業製品と違ってダメだから新しい物に変えるということは出来ませんので、しっかりと先のことを考えた上での決断が大切です。

Dr.明石
基本的には虫歯や歯周病治療もしている医院です。
理由は、インプラント治療は、抜けたところに入れるだけでなく、残っている歯の歯周病や噛み合わせの問題を含めて治療計画を立てる必要があります。
ですので、虫歯・歯周病・噛み合わせ・メンテナンスなどすべてを診てくれるかかりつけの歯科医院での治療をお勧めします。
かかりつけの歯科医院でインプラントをしてないケースは、紹介されたインプラント専門医院で治療を受けると良いと思います。

Dr.明石
お口の状態や噛み合わせによるので一概には言えないですが、基本的には奥歯がお勧めです。
特に大臼歯と言われる一番奥と奥から二番目の歯の部分です。
噛み合わせの力の60%以上がこの奥から2つの歯で支えているので、ここをしっかりインプラントで治療するのはお勧めです。

Dr.明石
残っている歯にとって一番もったいない治療の流れとなります。
理由は、ブリッジをするために前後の歯を大きく削る必要があるからです。
場合によっては神経を取ることもあります。
それだけ歯にダメージを与えるので、その歯の寿命は一気に短くなります。
もし数年後にインプラントを考えているのであれば、ブリッジ治療をする前にインプラントされた方が圧倒的に良いです。

Dr.中澤
骨が薄い場合は、そのままインプラントすることはお勧めできません。
ただ、事前に骨を増やす治療をしたり、インプラントと同時に骨を増やす治療をしたりすればインプラントをすることは可能です。

Dr.明石
インプラント治療でのリスクは3つあります。
1 インプラントと骨が結合しないリスク
工業製品とは違って、人間の身体はいろいろな反応があり100人に1人ぐらいの確率で起こります。 ただ、その場合でも使用するインプラントのメーカーなどを変えたりすれば、ほとんどが問題無く結合しますのでご安心ください。
2 神経を傷つけるリスク
顎の骨の中を通っている神経を傷つけるリスクがあります。
ただ、事前にしっかりCT撮影して三次元的に神経までの距離を計測して治療計画を立てれば心配することはありません。
また削りすぎないためのストッパーも当院では使用しております。
3 歯周病でインプラントが抜けるリスク
ばい菌(歯垢)によって、支えの歯ぐきや骨が下がってしまうことがあります。
つまり、インプラント治療だけでなく残っている歯の歯周病の検査や治療も大切です。

Dr.日坂
入れ歯の様に取り外す必要がなく、ご自身の歯の様な感じで噛めるところがメリットです。
そして一番のメリットは、周囲の歯の寿命を短くさせないことです。
ブリッジでも入れ歯でも、他の歯に負担がかかって歯が連鎖して抜歯になっていく現象が起こります。
ただインプラントは、周囲の歯に負担がかかることは一切無く、残っている歯に一番優しい治療です。

Dr.明石
最も大きな違いは、前後の歯の寿命が変わることです。
ブリッジは、抜けた部分の前後の歯を大きな虫歯の時と同じ位まで歯を削ります。
また、抜けた部分の歯の力を前後の歯が支えているため 常に1.5倍の力がブリッジの支えの歯にかかっています。
1)ブリッジ
2)歯を大きく削る+支えの歯に1.5倍の力がかかる
3)前後の歯の寿命が著しく減る
ブリッジの支えの歯は、データでは10年以内に68%が抜歯になります。

Dr.守谷
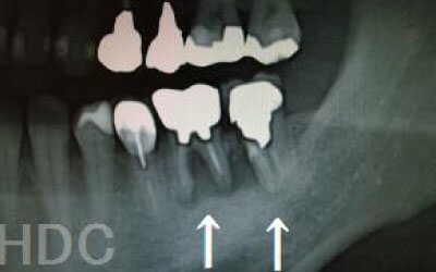
多少の位置のズレであれば、噛み合わせの調整や小さい詰め物で調整することも出来ます。
ただ、抜けてから数年が経って大きく傾いた歯は歯並び矯正をするか、 歯を大きく削ってかぶせ物をする必要があります。

Dr.明石
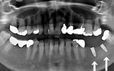
しばらくすると抜けたままでも慣れてきますが、大きな問題が発生します。
1 周囲の歯が早く抜ける
抜けた歯に掛かるはずだった噛むときの力は、気が付かずに別の歯が負担しています。 それにより残っている歯が突然折れて抜歯になることはよくあります。
2 歯が傾いてくる、落ちてくる
歯の位置は互いに支え合ってバランスを保っています。 つまり、歯が抜けることによって支えが無くなり抜けた部分の両隣の歯が倒れたり、 上の歯が下がってきたりします。

Dr.明石
歯が抜けた後の治療について、多くの方が悩まれています。
特に、抜けたのが前歯ですとなおさら気になりますよね。
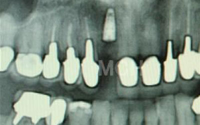
今回のご質問ですが、抜けた部分の骨が薄いなどの理由で「インプラントはできない」と言われた可能性があります。
前歯はもともと骨が薄く、歯が抜けると時間の経過とともにさらに骨が痩せてきてしまうので、インプラント治療の難易度が高い場所です。
ただ結論からお話すると、インプラント治療は可能です。
なぜなら、もし仮に骨が薄くても、骨の治療によって厚みが増せば、安全にインプラント治療が行えるからです。
なお、前歯のインプラント治療をご希望の方には、注意していただきたい点が4つほどあります。
1)インプラント治療を行う前に、骨の治療が必要かもしれません。
2)骨の治療から始めると、その分、治療期間が長くなります。
3)骨の治療は、通常のインプラント治療よりも難易度が高いため、経験の豊富な先生やインプラント認定医のいる歯科医院で治療を受けることをお勧めします。
4)骨の状況をしっかり把握するためにも、CT撮影が必須となります。
また、インプラント治療においては、周囲の歯の状況や咬み合わせの問題などもしっかりと考えて治療するのがとても大切です。
そのため、残っている歯についてもきちんと診査してくれるクリニックが良いでしょう。
インプラント治療には、「インプラントを入れたら終了」というイメージがありますが、治療後、どれだけ長くインプラントがもつのかが最も大切なことなので、しっかりとメンテナンスしてもらえる歯科医院を選んでください。
まずは、いくつかの歯科医院でインプラントの相談をして比較検討し、ご自身が良いと感じた先生のところで治療を受けることをお勧めいたします。
長くもつ
インプラントを
したい
残っている歯も
守りたい
認定医による
安心の治療の
提供
インプラント
だけの治療は
したくない
より良い関係性で
長くお口の健康を
守りたい
インプラント治療は、信頼できる医院を選び、自分に合った治療計画を見つけることが大切です。
お身体は一生付き合うものだからこそ、急がず慎重に考えてください。
私たちは、丁寧な説明と万全のサポートで、安心して治療に向き合える環境を提供します。
まずはお気軽にご相談ください。
ご相談いただくだけで
得られるメリット
MERIT 01
MERIT 02
MERIT 03
MERIT 04
MERIT 05
お急ぎの場合は、お気軽に
お電話ください!